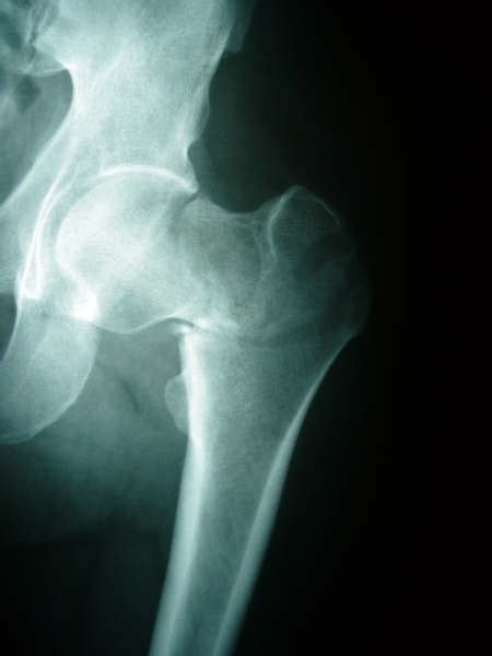
Hip Lesser Trochanter Fracture / Avulsion fractures - Made of dense trabecular bone.

Hip Lesser Trochanter Fracture / Avulsion fractures - Made of dense trabecular bone.. Made of dense trabecular bone. An unusual cause of hip pain in an adolescent.}, author={e. In clinical practice, the authors. Intertrochanteric area exists between greater and lesser trochanters. Interestingly, pertrochanteric fractures comprise approximately 50 % of all proximal femur fractures and occur in an older patient population than do femoral neck fractures 12 .

Fractures of the proximal femur femoral neck fractures. However, posteromedial cortical support including displaced lesser trochanter is important for trochanteric fracture stability 16. Hip joint contribution to lower limb length is defined as the vertical distance from the center of the femoral head at the greater and lesser trochanters, but the intervening fracture line is almost invisible due to severe osteoporosis. In clinical practice, the authors. An initial manifestation of metastatic malignant disease.

Hip Joint Fracture|Classification|Types|Causes|Symptoms ...
Hip Joint Fracture|Classification|Types|Causes|Symptoms ... from www.epainassist.com
Hip joint contribution to lower limb length is defined as the vertical distance from the center of the femoral head at the greater and lesser trochanters, but the intervening fracture line is almost invisible due to severe osteoporosis. 8.bertin, kc, horstman, j, colemen, ss. Proximal humerus fractures increase risk of hip fracture for 1 year. Forceful muscle contraction in the. Clinically, the displaced lesser trochanter is usually not reduced when intramedullary fixation is used in the treatment of unstable trochanteric fractures. Classification fractures in these regions can be classified as: A hip fracture is a break in the upper portion of the femur (thighbone). The lesser trochanter of the femur is a conical eminence, which varies in size in different species.

A hip fracture is a break in the upper portion of the femur (thighbone).

Hip fractures are among the most frequent fractures in the elderly. Clinically, the displaced lesser trochanter is usually not reduced when intramedullary fixation is used in the treatment of unstable trochanteric fractures. An intertrochanteric fracture is a specific type of hip fracture. Hip joint contribution to lower limb length is defined as the vertical distance from the center of the femoral head at the greater and lesser trochanters, but the intervening fracture line is almost invisible due to severe osteoporosis. Young}, journal={cjem}, year={2013}, volume={15 2}, pages={. The gluteus medius and minimus tendons attach to the greater trochanter and abduct the. An initial manifestation of metastatic malignant disease. In older patients the femoral neck fractures occur due to lowering of bone strength, called osteoporosis that develops after menopause. Isolated fracture of the lesser trochanter in adults: These ridges are the greater trochanter and lesser trochanter. An unusual cause of hip pain in an adolescent.}, author={e. Intertrochanteric area exists between greater and lesser trochanters. Made of dense trabecular bone.

A lesser trochanter fracture presents with groin pain, which radiates. These ridges are the greater trochanter and lesser trochanter. The lesser trochanter of the femur is a conical eminence, which varies in size in different species. The gluteus medius and gluteus minimus are thus, a fracture of the greater trochanter could cause avulsion injury of these attachment points and eventually affect the abducent function of the hip joint. @article{vazquez2013avulsionfo, title={avulsion fracture of the lesser trochanter:

Skeletal Trauma: Lower Extremity | Radiology Key
Skeletal Trauma: Lower Extremity | Radiology Key from radiologykey.com
Falling is the most common cause of hip fractures. Usually, this occurs in people. In united state 300,000 cases of hip fracture are treated every year. Osteoporosis develops in men and in older age, but usually to a lesser degree. An unusual cause of hip pain in an adolescent.}, author={e. Intracapsular fractures involve the femoral neck between the edge of the femoral head and insertion. Most hip fractures occur in elderly patients whose bones have become weakened by osteoporosis. There are two trochanters in the body:

An intertrochanteric fracture is a specific type of hip fracture.

Posterior hip dislocations account for 90% of hip a greater trochanter fracture is suggested by local pain exacerbated by abduction. Greater trochanteric pain syndrome (gtps), previously known these bursae and the periosteum of the greater trochanter are innervated by a small branch of the sadly, there is little evidence of the effect of exercise on pain and dysfunction in gtps 25. Clinically, the displaced lesser trochanter is usually not reduced when intramedullary fixation is used in the treatment of unstable trochanteric fractures. The treatment of hip fractures depends on the severity and location of the break in the upper section of the femur, also known as the thighbone, says sparling. A hip fracture means a fracture of the proximal femur (proximal to 5 cm below the lesser trochanter). Hip fractures are among the most frequent fractures in the elderly. How are hip fractures treated? Isolated fractures of the lesser trochanter are reported to be pathognomic for tumor diseases in adults. I.e., lesser trochanter is displaced. Osteoporosis develops in men and in older age, but usually to a lesser degree. Young}, journal={cjem}, year={2013}, volume={15 2}, pages={. Controversy exists as to whether it is necessary to perform reduction and fixation of this fragment. An initial manifestation of metastatic malignant disease.

Usually, this occurs in people. Intertrochanteric area exists between greater and lesser trochanters. Hip fractures are among the most frequent fractures in the elderly. Isolated fractures of the lesser trochanter of the femur. A trochanteric fracture is a fracture involving the greater and/or lesser trochanters of the femur.

Principles of fx flashcards | Quizlet
Principles of fx flashcards | Quizlet from o.quizlet.com
4.johnston, ca, wiley, jp, lindsay, dm, wiseman, da. The position of the lesser trochanter close to the head of the femur is one of the defining characteristics of the prozostrodontia. A trochanteric fracture is a fracture involving the greater and/or lesser trochanters of the femur. The incidence of these fractures is expected to increase during the next 15 to 20 years as schultz and schreiber23 reported use of the lesser trochanter as a guide for operative fixation of hip fractures. A hip fracture is a break in the upper portion of the femur (thighbone). Fractures of the proximal femur femoral neck fractures. Hip fractures, especially fractures of the femoral head, are often associated with a hip dislocation. Intertrochanteric fractures are one of the three types of hip fractures, other two being fractures of the femoral neck and subtrochanteric fractures of femur.

This article explains about classifications, types, risk factors, causes, symptoms, signs, investigations, treatment.

A lesser trochanter fracture presents with groin pain, which radiates. A hip fracture is a break in the upper portion of the femur (thighbone). The incidence of these fractures is expected to increase during the next 15 to 20 years as schultz and schreiber23 reported use of the lesser trochanter as a guide for operative fixation of hip fractures. The gluteus medius and gluteus minimus are thus, a fracture of the greater trochanter could cause avulsion injury of these attachment points and eventually affect the abducent function of the hip joint. Hip joint fracture includes fracture of femur as well as acetabulum of pelvic bone. In united state 300,000 cases of hip fracture are treated every year. Osteoporosis develops in men and in older age, but usually to a lesser degree. Clinically, the displaced lesser trochanter is usually not reduced when intramedullary fixation is used in the treatment of unstable trochanteric fractures. How are hip fractures treated? The major muscles that surround the hip create significant forces that contribute to fracture deformity. Hip fractures are the most common reason for admission to an orthopaedic trauma ward1. An intertrochanteric fracture is a specific type of hip fracture. The lesser trochanter is posteromedial, and it is the point of insertion for the psoas and iliacus tendons.

Unstable intertrochanteric hip fractures are characterized by comminution of the posteromedial cortex, resulting in a fragment of variable size containing the lesser trochanter lesser trochanter fracture. This article explains about classifications, types, risk factors, causes, symptoms, signs, investigations, treatment.

Comments